
“A veces siento que estamos a oscuras. Hacemos la ecografía estructural, vemos que todo parece estar bien... pero después nos llega un informe de resonancia que dice: ‘agenesia parcial del cuerpo calloso’. ¿Cómo no lo vimos antes? ¿Qué se nos escapó?”
Si este pensamiento te resulta familiar, no estás solo. La detección prenatal de anomalías cerebrales, especialmente las que afectan al cuerpo calloso, sigue siendo uno de los desafíos más complejos en medicina fetal. Y no porque no pongas atención, sino porque el problema muchas veces no está en lo que haces… sino en lo que no sabes que podrías estar viendo.
Aquí es donde entra un estudio reciente, liderado por el Dr. Fernando Viñals desde Chile, que propone un cambio de mirada: incluir de forma sistemática la evaluación de dos áreas claves del cerebro fetal durante la ecografía básica —el complejo anterior y el complejo posterior— puede mejorar notablemente la detección de la agenesia parcial del cuerpo calloso (pACC).
Y lo mejor: esto puede hacerse con imágenes en plano axial, usando tecnología disponible hoy en muchos centros en Chile, como los ecógrafos Voluson de GE HealthCare.
En este artículo vas a descubrir:
Detectar una agenesia parcial del cuerpo calloso (pACC) antes del nacimiento no es fácil. Y eso tiene mucho que ver con cómo se hace el screening actualmente.
Hoy, la mayoría de las ecografías estructurales siguen una ruta estándar: planos axiales, imágenes transabdominales, y una revisión general de estructuras cerebrales. El problema es que el cuerpo calloso, especialmente cuando está parcialmente formado, puede verse “normal” si no se buscan los signos correctos.
Además, la definición de pACC varía entre centros y publicaciones, lo que complica aún más el diagnóstico. Y como la vista sagital —la más precisa— no siempre es posible obtener, muchas veces el diagnóstico llega tarde o después del nacimiento. Este estudio propone un enfoque más accesible: usar los planos axiales que ya obtienes en la ecografía básica para observar ciertos patrones en dos zonas clave del cerebro fetal.

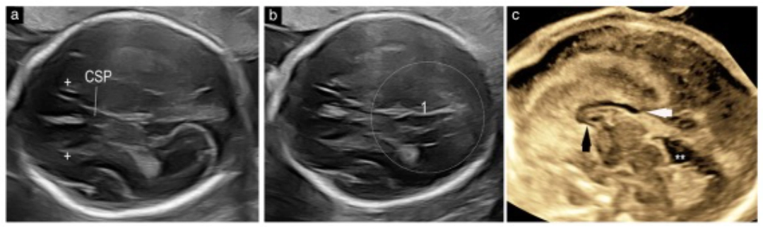
Ecografía transabdominal y transvaginal de un feto sano a las 22 semanas. Se observan estructuras normales del complejo anterior (CSP bien definido, astas anteriores con forma de coma) y del complejo posterior (surco calloso visible, CC cruzando la línea media). Fuente: Viñals et al., 2025.

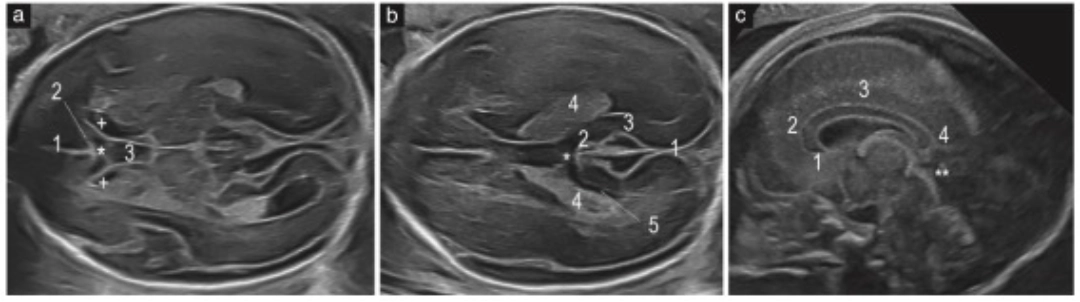
Caso de pACC a las 23 semanas. Aparentemente, el CSP tiene forma normal (índice ≥1.5), pero la imagen sagital muestra ausencia del rostrum y parte del esplenio del cuerpo calloso. La evaluación del complejo posterior fue clave para sospechar la anomalía. Fuente: Viñals et al., 2025.
Estos hallazgos son visibles en el examen ecográfico estándar del segundo trimestre.
El estudio, con 22 casos confirmados, mostró:
Lo más relevante: todos estos signos fueron detectados con ecografía transabdominal, en planos axiales estándar, y usando equipos Voluson.

Feto con pACC a las 27 semanas. Se observa cavum septi pellucidi anormal (índice < 1.5), alteraciones en el complejo posterior y ausencia de segmentos del cuerpo calloso en el plano sagital. Fuente: Viñals et al., 2025.
👨⚕️ Este trabajo fue liderado por el Dr. Fernando Viñals, del Sanatorio Alemán de Concepción y la Universidad de Concepción, junto a un equipo multidisciplinario de Chile, España y Portugal.
📄 Puedes acceder al artículo científico completo publicado en Ultrasound in Obstetrics & Gynecology aquí:
Sí. Si tienes un Voluson y haces ecografías estructurales, ya tienes todo lo necesario. No necesitas ser experto en neurosonografía ni contar con resonancia fetal.
Lo importante es saber qué buscar, y hacerlo de forma sistemática. Esta metodología:
Este estudio nos recuerda que no se trata de hacer más, sino de mirar mejor.
Con solo observar con intención el complejo anterior y posterior, puedes detectar con mayor precisión anomalías del cuerpo calloso —incluso aquellas que antes pasaban desapercibidas.
Y como vimos, esto es posible hoy mismo, con la tecnología que ya tienes.
Si trabajas con Voluson, estás en una posición privilegiada para implementar este enfoque y ofrecer un diagnóstico más preciso, temprano y confiable a tus pacientes.
Créditos y colaboración en Instagram: Este estudio fue liderado por el Dr. Fernando Viñals del @sanatorio.aleman. ¡Etiquétanos si aplicas este enfoque en tu práctica!