
Si eres gineco-obstetra, ecografista o especialista en medicina fetal, probablemente te has hecho alguna de estas preguntas. Diagnosticar correctamente alteraciones del cuerpo calloso como agenesias, hipoplasias o displasias es una preocupación constante. No solo por la complejidad anatómica del cerebro fetal, sino por las implicancias clínicas y emocionales que conlleva para las familias.
El problema es que, hasta ahora, muchas curvas biométricas publicadas para el cuerpo calloso eran inconsistentes o poco confiables. Algunas se basaban en estudios con muestras pequeñas, otras usaban técnicas que no garantizaban una alineación precisa del plano sagital. Resultado: riesgo de sobrediagnóstico, incertidumbre clínica y decisiones difíciles.
Pero esto está cambiando. Un nuevo estudio multicéntrico, publicado en Ultrasound in Obstetrics and Gynecology, validó la medición del cuerpo calloso con ultrasonido transvaginal 3D usando exclusivamente equipos Voluson de GE HealthCare. Con más de 2.100 casos y participación de centros en Europa, Asia y América —incluyendo Chile—, esta investigación ofrece curvas de crecimiento precisas y Z-scores confiables para evaluar la longitud del cuerpo calloso entre las 15 y 37 semanas de gestación.
Como representantes oficiales de GE HealthCare en Chile, en Hoser te explicamos en este artículo qué significa este estudio, cómo se hizo, y sobre todo: qué cambia para ti y tu práctica clínica.

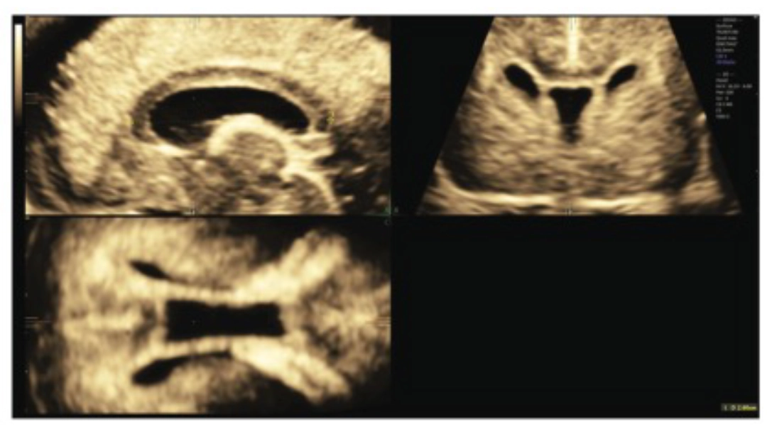
Ejemplo de plano sagital obtenido por ecografía transvaginal 3D, mostrando la medición de la longitud del cuerpo calloso en un feto de 22+3 semanas. Esta alineación precisa fue clave para la calidad y confiabilidad de los datos del estudio.
Este estudio se propuso resolver debilidades metodológicas presentes en investigaciones anteriores. Aquí te explicamos por qué es tan relevante:
Las mediciones se realizaron en volúmenes obtenidos solo por vía transvaginal, con alineación exacta del plano sagital a través de imágenes multiplanares. Esto elimina errores de interpretación frecuentes en estudios que usan imágenes transabdominales.
Todos los centros participantes usaron exclusivamente Voluson E8, E10 y Expert 22, con transductores volumétricos transvaginales de alta frecuencia (5–9 MHz o 6–12 MHz), que permiten obtener imágenes de altísima resolución para estructuras cerebrales fetales.
Con 2.131 casos evaluados entre las semanas 15 y 37, y una distribución homogénea por semana (49 a 140 casos por semana), el estudio entrega curvas válidas en todo el rango gestacional.

Distribución de los 2.131 casos incluidos en el estudio, por semana de gestación (15 a 37 semanas). Esta distribución homogénea refuerza la validez de las curvas de referencia propuestas.
Los resultados fueron consistentes entre diferentes operadores y centros. Los coeficientes de correlación intraclase (ICC) oscilaron entre 0.98 y 1.00, tanto para análisis intra como interobservador.
Se aplicó el modelo de regresión de Altman ajustado con splines cúbicos, lo que permitió recuperar la precisión en edades gestacionales tempranas y generar curvas de percentiles (2.5 a 97.5) y Z-scores. Además, el estudio ofrece un calculador online gratuito para aplicar estos datos clínicamente.

Comparación entre los valores de longitud del cuerpo calloso reportados en este estudio (línea curva azul) y los de estudios previos incluidos en una revisión sistemática. Se observa alta heterogeneidad en curvas anteriores, especialmente antes de la semana 25, en contraste con los valores consistentes del modelo actual.
El cuerpo calloso fetal es una estructura esencial en el desarrollo cerebral, pero su evaluación ha estado limitada por la falta de estándares confiables. Este estudio ofrece una solución concreta:

Curvas de crecimiento del cuerpo calloso fetal entre las semanas 15 y 37 de gestación. Basadas exclusivamente en mediciones transvaginales 3D obtenidas con equipos Voluson. Se incluyen percentiles 2.5, 5, 50, 95 y 97.5.
Chile tuvo un rol destacado en esta investigación: el Sanatorio Alemán de Concepción y la Universidad de Concepción participaron activamente como parte del equipo internacional. Entre los autores se encuentra el Dr. Fernando Viñals, Médico Cirujano Jefe de la Unidad de Ecografía Obstétrica y Ginecológica en Centro AGB, quien fue coautor y colaborador del estudio.
👉 Puedes seguir al Sanatorio Alemán y conocer más sobre su trabajo en medicina fetal en @sanatorio.aleman. ¡Etiquétanos si aplicas este enfoque en tu práctica!
Además, los equipos Voluson fueron la única tecnología utilizada en todos los centros participantes. Las capacidades avanzadas de estos ecógrafos —como el Volume Contrast Imaging (VCI) y el software 4D View— fueron clave para lograr imágenes precisas, reproducibles y de alta resolución.
Para revisar directamente el artículo científico, puedes acceder a la publicación completa en la revista Ultrasound in Obstetrics and Gynecology desde el siguiente enlace:
Este estudio entrega, por primera vez, curvas de crecimiento y Z-scores confiables para medir la longitud del cuerpo calloso fetal mediante ecografía transvaginal 3D. Su implementación clínica puede ayudarte a:
Conoce la línea completa de ecógrafos Voluson que ponemos a tu disposición en Hoser — los mismos equipos utilizados en este estudio multicéntrico.